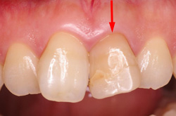
前歯をきれいにしたいと来院。
オールセラミックスクラウン(すべてセラミックで作られた被せ物)で審美治療を行い、歯ぐきの黒ずみは回避できました。



・年齢:42歳
・性別:女性
・治療期間:約3か月
・治療回数:6回
・治療費:110,000円(税込)
・治療の主なリスク・副作用:
保険がきかないため高額になります。
過度の衝撃により脱落、破折することがあります。
前歯をきれいにしたいと来院。
オールセラミックスクラウン(すべてセラミックで作られた被せ物)で審美治療を行い、歯ぐきの黒ずみは回避できました。



・年齢:42歳
・性別:女性
・治療期間:約3か月
・治療回数:6回
・治療費:110,000円(税込)
・治療の主なリスク・副作用:
保険がきかないため高額になります。
過度の衝撃により脱落、破折することがあります。